Acute oesophageal necrosis (AON) is a rare condition, with a reported prevalence of between 0.01% and 0.28%, as observed in endoscopic studies. It is characterised by necrosis of the oesophageal mucosa, predominantly distal with variable extension to the proximal level, abruptly terminating at the gastro-oesophageal junction. This condition has been associated with diabetes mellitus, renal failure, malnutrition, liver cirrhosis, cancer, infection, vomiting, and certain drugs. The pathogenic mechanism is not well understood and appears to be multifactorial. Some theories suggest the involvement of systemic hypoperfusion or impaired gastric emptying, leading to the accumulation of large volumes of gastric fluid and gastro-oesophageal reflux, with gastric acid causing damage and necrosis. The mortality rate ranges from 13% to 35%.1
We present the case of a patient diagnosed with metastatic non-small cell lung cancer (NSCLC) harbouring activating mutations in the epidermal growth factor receptor (EGFR). The patient developed AON 7 months after initiating treatment with osimertinib.
Osimertinib is an EGFR tyrosine kinase inhibitor (TKI) used in this therapeutic setting. Regarding its gastrointestinal toxicity profile, diarrhoea has been reported in 41% of patients, stomatitis in 18%, nausea in 10%, anorexia in 9% (with grade 3 occurring in up to 1%), and vomiting in 6%.2
Case descriptionA 68-year-old woman, weighing 55 kg, non-smoker, with relevant medical history, including hypertension was treated with bisoprolol 10 mg daily and cholecystectomy. She was diagnosed with adenocarcinoma-type NSCLC with signet ring cells, stage IV due to bone, lung and liver metastases, harbouring the L858R mutation in exon 21 of EGFR, and exhibiting weak PD-L1 positivity (1–49%). Given the mutational profile, treatment was initiated with dacomitinib (an EGFR-TKI) at a reduced dose of 30 mg once daily. This decision was based on the risk of adverse effects in patients aged over 65 years, since a higher incidence of grade 3–4 toxicities has been observed in this age group. In addition, the patient's functional status, classified as level 2 on the Eastern Cooperative Oncology Group scale, was taken into consideration. On day +42 after treatment initiation, the dose had to be further reduced to 15 mg once daily owing to grade 2 skin and gastrointestinal toxicity. Nevertheless, a partial response to the disease was achieved, as defined by the Response Evaluation Criteria in Solid Tumours (RECIST) criteria. Following more than 2 years of treatment, the patient progressively developed a loss of visual acuity, necessitating ophthalmological evaluation. Despite undergoing several treatments, there was no improvement. After ruling out other potential causes, dacomitinib was withdrawn, and treatment was promptly initiated with osimertinib 80 mg once daily. Initial tolerance was excellent, and partial response was maintained according to RECIST criteria.
After 7 months of treatment with osimertinib, the patient attended the emergency department (ED) with grade 3 nausea and vomiting, oral intolerance, and a weight loss of 5 kg over 3 weeks (Table 1). She was prescribed symptomatic treatment with metoclopramide 10 mg every 8 h, dexamethasone 4 mg once daily, ondansetron 4 mg every 8 h, and omeprazole 20 mg daily. After 5 days, she returned to the ED owing to persistent grade 3 nausea and vomiting. Osimertinib was discontinued because of suspected gastrointestinal toxicity. The symptomatic treatment prescribed at the first ED visit was maintained. Despite this, the symptoms persisted and, 1 week after discontinuation of the drug, the patient was admitted to the hospital for treatment and further evaluation.
Patient anthropometric and laboratory course on osimertinib.
| Start osimertinib | +90 d | +180 d | +210 dFirst visit to the ED | +215 dSecond visit to the ED and suspension of osimertinib | +217 dHospital admission | +222 dHospital admission | |
|---|---|---|---|---|---|---|---|
| Weight, kg | 55 | 56 | 55 | 50 | 50 | 50 | 50 |
| Glucose, mg/dL | 100 | 94 | 96 | 76 | 84 | 51 | |
| Creatinine, mg/dL | 0.63 | 0.59 | 0.68 | 1.21 | 0.48 | 0.7 | 1.93 |
| eGFR, mL/min/1.73 m2 | 91 | 93 | 88 | 45 | 99 | 87 | 26 |
| Bilirubin, mg/dL | 0.58 | 0.64 | 1.5 | 1.35 | 1.47 | 2.02 | |
| LDH, U/L | 169 | 287 | 408 | 363 | |||
| AST, U/L | 24 | 20 | 26 | ||||
| ALT, U/L | 21 | 11 | 13 | 14 | 27 | 28 | 16 |
| Total protein, g/dL | 6.5 | 6.6 | 6.6 | 6.2 | 4 | ||
| Creatinine mg/dL | 13.8 | 13.7 | 12.4 | 11.8 | 9.7 | 14.1 | 8.7 |
| Leukocytes, ×103/μL | 8.73 | 7.49 | 5.47 | 13.98 | 5.07 | 14.12 | 2.66 |
| Neutrophils, ×103/μL | 6.08 | 4.93 | 3.46 | 12.40 | 3.62 | 12.19 | 2.39 |
| Platelets, ×103/μL | 286 | 163 | 167 | 183 | 137 | 200 | 49 |
Abbreviations: ED, emergency department; eGFR, estimated glomerular filtration rate; LDH, lactate dehydrogenase; AST, aspartate aminotransferase; ALT, alanine aminotransferase.
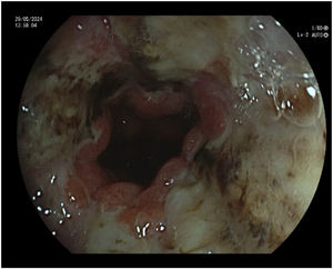
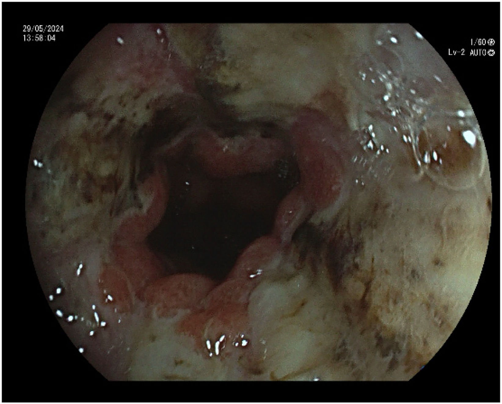
Supportive treatment was prescribed during hospitalisation: pantoprazole 40 mg once daily, metoclopramide 10 mg every 8 h, ondansetron 4 mg every 8 h, dexamethasone 4 mg once daily, and intravenous fluid therapy. The following imaging studies were performed: a cranial computed tomography (CT) scan, which ruled out metastatic brain disease; and chest, abdomen, and pelvis CT scans, which ruled out tumour progression. An upper endoscopy was also performed, revealing oesophageal mucosa covered with fibrin and necrotic areas (Fig. 1), predominantly in the distal oesophagus, and necrosis in the duodenal bulb. These findings are consistent with AON. The gastrointestinal department assessed the patient and concluded that there were no endoscopic or surgical treatment options, and that supportive care was the only feasible approach.
Twenty-four hours after being diagnosed with AON, the patient developed possible sepsis of gastrointestinal origin secondary to this condition. Finally, given the clinical deterioration and the seriousness of the situation, conservative treatment was chosen, prioritising measures to ensure the patient's well-being while limiting therapeutic efforts.
The suspected adverse reaction was reported to the Spanish Pharmacovigilance System.
DiscussionDue to its mechanism of action, osimertinib interferes with the proliferation and differentiation of keratinocytes in the oral mucosa, which accounts for its common adverse effect of stomatitis.3 Such pathophysiological interference with squamous epithelium may also be implicated in the development of AON.
Up to 2% of patients with NSCLC who are treated with crizotinib (used to treat NSCLC with anaplastic lymphoma kinase gene rearrangement) may develop oesophagitis and oesophageal ulcers.4 In 2017, Inoue et al. presented a case study of a patient with NSCLC who was treated with afatinib, an EGFR-TKI, and subsequently developed severe oesophagitis. According to the authors, this complication was likely due to increased afatinib plasma concentrations after a period of low food intake, as its absorption depends on the presence of food.5
Similar gastrointestinal toxicities associated with various TKIs have also been described in patients with other types of cancer. In 2021, Kanagalingam et al. described a patient who developed superficial dissecting oesophagitis associated with lenvatinib.6 In the case of sunitinib, oesophagitis has also been reported as a frequent adverse effect and has been associated with fatal events.7 In 2017, Mohammad et al. reported the case of a patient with chronic myeloid leukaemia who was undergoing bosutinib treatment and developed AON with complications.8 This condition is rare, its aetiology remains unknown, and it has a multifactorial pathogenesis. Consequently, identifying the precipitating factors in this patient was challenging.
According to the Naranjo algorithm, AON is classified as a possible adverse reaction to osimertinib.9 Seven months after starting osimertinib treatment, the patient began experiencing vomiting and weight loss. These symptoms cannot be explained by any other drugs she received. Signet ring cell adenocarcinomas presenting as primary lung tumours are rare and highly aggressive, which could have contributed to the development of AON.10 Acute oesophageal necrosis may have occurred as a result of a combination of systemic hypoperfusion and exposure of the oesophageal mucosa to gastric acid. This could have been reinforced by vomiting associated with the gastrointestinal toxicity of the drug, the neoplastic process, or the patient's state of malnutrition.
Ethical responsibilitiesThe authors have adhered to their workplace protocols regarding the publication of patient data.
CRediT authorship contribution statementAlicia Aguado-Paredes: Writing – review & editing, Writing – original draft, Visualization, Validation, Methodology, Formal analysis, Conceptualization. Laura Moñino-Dominguez: Writing – review & editing, Writing – original draft, Validation, Methodology, Conceptualization. Maria del Carmen Damas-Fuentes: Writing – review & editing, Writing – original draft, Validation, Supervision, Methodology, Conceptualization.
FundingNone declared.
None declared.





