Sr. Director:
El topiramato es un antiepiléptico de nueva generación, utilizado como terapia coadyuvante en las epilepsias parciales y secundariamente generalizadas, y es de especial ayuda en las epilepsias refractarias. Igual que ocurre con la mayoría de los antiepilépticos de nueva generación, presenta un perfil de interacciones farmacológicas favorables, una cinética lineal y una eliminación preferentemente renal. Sin embargo, se han descrito efectos secundarios, no sólo en el sistema nervioso central1 (inestabilidad, temblor, somnolencia, déficit de concentración, etc.), sino también sistémicos (hipertermia, efecto anorexígeno, litiasis renal, etc.). Con respecto a la formación de cálculos renales, se ha observado que éstos son de 2 a 4 veces más frecuentes en pacientes tratados con topiramato que en la población general, sobre todo en varones2. Suelen ser asintomáticos, ya que por lo general son cálculos de pequeño tamaño y se eliminan de forma espontánea, sin necesidad de tratamiento. Esto explica que en la mayoría de los casos que se han descrito, se opte por continuar con este fármaco3.
A continuación, se presenta el caso de una mujer que desarrolló un cálculo coraliforme de gran tamaño, y que fue inducido, probablemente, por la utilización de topiramato.
Descripción del casoMujer de 36 años, segunda gemela nacida por cesárea tras un parto prolongado con sufrimiento fetal. Presenta retraso mental leve y crisis epilépticas como secuelas. Desde el año 2000 es seguida por nuestro servicio de neurología por epilepsia generalizada, en tratamiento con ácido valproico 1.200 mg/día, fenitoína 300 mg/día, fenobarbital 100 mg/día y clonazepam 0,75 mg/día. A pesar de este tratamiento presenta 7-8 crisis al mes, por lo que se decide introducir topiramato y suspender de forma progresiva fenobarbital. Posteriormente, se observa una notable mejoría, reduciéndose el número de crisis a 1-2 al mes.
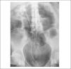
Cinco años después de iniciado el tratamiento con topiramato (dosis de 375 mg/día), la paciente acude a urgencias por presentar un cuadro de fiebre y dolor de tipo cólico en fosa renal derecha. Se le realiza un sedimento de orina en el que se observan más de 100 leucocitos/campo y abundantísimos gérmenes, y una radiografía simple de abdomen en la que se evidencia un cálculo coraliforme de 5,07 × 3,56 cm de diámetro en el riñón derecho y pequeños cálculos caliciales en riñón izquierdo (fig. 1). Posteriormente, este hallazgo se confirma mediante una urografía intravenosa, que además descarta la presencia de uropatía obstructiva y de reflujo vesicoureteral.
Los análisis de sangre revelan una leve acidosis metabólica, con unos valores de bicarbonato de 19 mmol/l. El resto de parámetros: cloro, calcio, ácido úrico y hormona paratiroidea son normales. En la orina de 24 h se observa una disminución en la excreción de citrato de 167,3 mg (285-970) y un aumento de la excreción de sodio de 227 (75-200) mEqv. La función renal, así como la eliminación de cloro, calcio y potasio son normales. El pH urinario es de 7. Proteinuria negativa. En los urocultivos seriados se aísla Escherichia coli. El análisis bioquímico del cálculo determina que está formado por fosfato cálcico.
Una vez realizadas las pruebas, se inicia tratamiento antibiótico, y se obtiene una remisión completa de la clínica infecciosa a los 5 días y urocultivos de control negativos. Dado el gran tamaño del cálculo, la paciente se somete a litotricia extracorpórea. Actualmente lleva 15 sesiones, con reducción parcial de éste. Debido a las importantes repercusiones renales, y a pesar de que la paciente lleva un mejor control de las crisis comiciales con topiramato, se ha decidido retirar de forma progresiva este fármaco.
DiscusiónTal y como se mencionó previamente, uno de los efectos secundarios sistémicos del topiramato es el aumento del riesgo para el desarrollo de litiasis renal, que aproximadamente afecta a un 1,5% de la población adulta tratada con este fármaco. La formación de los cálculos se produce mediante 2 mecanismos fundamentales. Por una parte, el topiramato induce una disminución en la reabsorción de HCO3− y una acidosis metabólica al inhibir la enzima anhidrasa carbónica en el túbulo renal proximal1. Esto conlleva un incremento de la reabsorción tubular de citrato4, y la hipocitraturia resultante aumentaría el riesgo de formación de cálculos cálcicos. En segundo lugar, el topiramato también puede favorecer la formación de cálculos al alterar los mecanismos de acidificación del túbulo distal haciendo que la orina se mantenga relativamente alcalina a pesar de la acidosis sistémica5. Típicamente, los cálculos son de fosfato cálcico, con un diámetro < 1 cm, por lo que hasta un 67-75% se elimina de forma espontánea y sin producir complicaciones. Esto hace que, en la mayoría de las ocasiones, no se requiera ningún tratamiento y se opte por continuar con el topiramato, iniciando únicamente terapia preventiva de nuevas litiasis3.
El caso de nuestra paciente es totalmente atípico. Por un lado, está el gran tamaño y la llamativa morfología coraliforme que alcanza el cálculo, que ocupa gran parte de los cálices y pelvis renal, y que explicaría la sintomatología por la que la paciente acude al hospital y es diagnosticada; por otro, debido al tamaño alcanzado por el cálculo y las importantes repercusiones que esto puede suponer, ha sido necesario iniciar terapia con litotricia y suspender, de forma paulatina, el topiramato.
Además de los efectos ya descritos del topiramato, hay otros factores de riesgo asociados a litiasis renal y que han sido descartados. Por un lado, factores generales (ambientales, climáticos, dietéticos), la existencia de antecedentes personales y/o familiares de litiasis renal, o la presencia de anomalías de las vías urinarias; condiciones que no se dieron en nuestra paciente. Se ha descrito una mayor incidencia de cálculos en personas con encefalopatía porque, en general, presentan una escasa ingesta de líquidos, pero no es el caso de nuestra paciente, con un retraso mental muy leve y con buen estado de hidratación de piel y mucosas. Las alteraciones metabólicas (hipercalcemia y/o hipercalciuria, hiperuricemia, hiperparatiroidismo) también se han descartado. Otra de las causas más frecuentemente asociadas a la presencia de cálculos y, concretamente, de los que tienen morfología coraliforme son las infecciones (sobre todo, por gérmenes positivos a la ureasa, como Proteus mirabilis)6. Dichas litiasis se han descrito asociadas a infecciones de repetición y/o bacteriuria asintomática por factores de riesgo asociados (sondaje crónico, etc.). Nuestra paciente, en el momento del diagnóstico, presenta una infección urinaria por E. coli. Sin embargo, se trata de una infección aislada (no hay historia de infecciones urinarias previas) y la sintomatología clínica es menor de 24 h, lo que hace poco probable que este germen sea el responsable de la formación de un cálculo tan grande. De tal forma, consideramos que la litiasis renal probablemente se deba al tratamiento crónico con topiramato y que la infección es posterior a este hecho. Esta hipótesis estaría reforzada además por los hallazgos obtenidos del estudio de orina de 24 h, y el pH sanguíneo y urinario que mostraron una acidosis metabólica con bicarbonato bajo, junto con una alcalosis urinaria con hipocitraturia, uno de los mecanismos favorecedores de litiasis renal relacionados con el topiramato. Finalmente, mencionar que el uso concomitante de topiramato con otros inhibidores de la anhidrasa carbónica, como la acetazolamina y la zonisamida, así como en pacientes con dieta cetogénica, también puede incrementar el riesgo de formación de cálculos renales7,8. En nuestro caso, no se ha encontrado ningún trabajo que asocie los distintos fármacos antiepilépticos que toma la paciente (ácido valproico, fenitoína, fenobarbital y clonazepam) con la producción de cálculos, ni tampoco se ha observado que tengan actividad como inhibidores de la anhidrasa carbónica. Por ello, al estimar la imputabilidad de esta reacción adversa al topiramato como probable según el algoritmo de Naranjo et al9.




